J. van Ingen

Dat er meer mycobacteriën bestaan dan alleen de verwekkers van tuberculose (Mycobacterium tuberculosis complex) en lepra (M. leprae) is binnen de infectieziektewereld ruim bekend. Toch is er over die ‘restgroep’, vaak aangeduid als ‘atypische’ ofwel nontuberculeuze mycobacteriën (NTM) verder relatief weinig bekend. Uit ons retrospectief statusonderzoek in Nederland blijkt dat de klinische relevantie (ziekteverwekkend vermogen) van NTM nontuberculeuze mycobacteriën (nontuberculeuze mycobacteriën) sterk per species verschilt. Dat heeft belangrijke implicaties voor de behandeling van de patiënt. NTM worden voor 90% gekweekt uit longmonsters (vooral mannen van 50-60 jaar met al bekende chronische longziekte) en voor 10 % uit lymfekliermonsters (vooral gezonde kinderen onder de 6 jaar). De behandeling van NTM-infecties lijkt op de tuberculose-behandeling en is langdurig en gecompliceerd. De behandeluitkomst is momenteel slechter dan die van multidrugresistente tuberculose. Nieuwe middelen en Nederlandse behandelrichtlijnen zijn wenselijk.

De NTM bestaan inmiddels uit 130 verschillende species waarvan de meesten vrij in ons milieu en in kraanwater voorkomen. Vanuit het milieu worden we dan ook dagelijks blootgesteld aan deze NTM, waardoor deze dus ook bij toeval in een pulmonaal monster (sputum, broncho-alveolaire lavage ) kunnen belanden. Bij het aantonen van NTM in een pulmonaal monster kan daarom nog niet per definitie worden gesproken van een ware, klinisch relevante, NTM-infectie. Om dat te bepalen is een set aan criteria opgesteld door de American Thoracic Society (ATS).

Het aantal NTM dat wordt geïsoleerd uit klinische monsters in Nederland neemt de laatste jaren duidelijk toe, zo blijkt uit de database van het RIVM. (Figuur 1) Dit komt vooral door een toename van NTM-isolatie uit pulmonale monsters van patiënten ouder van 40 jaar. Dit fenomeen werd gelijktijdig ook waargenomen in andere landen, vooral landen waar de incidentie van tuberculose dalende is. Deze toename uitte zich ook in een toenemend aantal consulten bij de klinisch consulenten voor tuberculose in Beatrixoord en Dekkerswald, met name over betekenis van het vinden van NTM in klinische monsters. De toenemende isolatie en onduidelijke klinische betekenis hiervan waren aanleiding voor ons onderzoek.

Statusonderzoek

Om meer zicht te krijgen op hoe vaak NTM-infecties klinisch relevant zijn en welke patiënt- en bacteriefactoren hierbij een rol spelen, hebben wij eerst in de regio Nijmegen-Arnhem en later door heel Nederland een retrospectief statusonderzoek verricht onder patiënten bij wie NTM waren gekweekt. Hierin hebben we gekeken of de betrokken patiënten met NTM gekweekt uit pulmonale monsters voldeden aan de diagnostische criteria van de ATS (zie kader).

Uit de regionale studie, met meer dan 200 patiënten, leerden we dat 90% van alle NTM wordt gekweekt uit longmonsters; de overige 10% zijn voornamelijk lymfeklierinfecties bij kinderen. In longmonsters werden M. avium en M. kansasii het meest frequent aangetroffen. Van alle patiënten met NTM in pulmonale monsters bleek 25% te voldoen aan de criteria van de ATS en dus een ware NTM-longinfectie te hebben. Dit percentage bleek echter sterk te verschillen per species. Vrijwel geen enkele patiënt bij wie M. gordonae werd gekweekt had een ware infectie (2%), terwijl voor M. kansasii (71%) bijna het tegenovergestelde waar was; M. avium vormde met 41% een middencategorie. Om deze verschillen te onderbouwen hebben we vervolgens van een aantal minder voorkomende NTM-species de dossiers van alle patiënten in Nederland uit de periode 1999-2006 opgespoord. Deze bevestigden het beeld uit de regionale studie: klinische relevantie verschilt sterk per species. Op basis van de gecombineerde studies kunnen we de klinische relevantie van de verschillende NTM-species quantificeren; als maat namen wij steeds het percentage patiënten, bij wie het species in een of meer longmonsters wordt gevonden, dat aan alle criteria van de ATS voldoet. (Figuur 2)

Voor de praktijk betekent dit dat de identificatie van de gevonden NTM mede richtinggevend kan zijn voor de behandeling van de patiënt. Wanneer bijvoorbeeld M. malmoense wordt gevonden is het raadzaam om, wetende dat 80% van alle patiënten bij wie deze bacteriën worden gevonden een ware infectie hebben, de diagnostiek snel rond te krijgen en indien nodig behandeling te starten. Bij het vinden van M. gordonae of M. noviomagense is een afwachtende houding voldoende. Een goede identificatie van gevonden mycobacteriën en rapportage hiervan is dus van groot belang.

Longinfecties

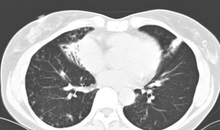
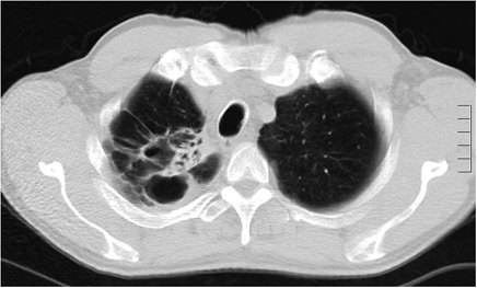
Klinisch zijn longinfecties door NTM zijn nauwelijks te onderscheiden van longtuberculose, hoewel het beloop doorgaans trager is. Van de twee radiologische te onderscheiden varianten van NTM-longinfecties is de holtevormende in Nederland veruit het meest frequent. Afwijkingen op longfoto’s en CT-scans zijn niet betrouwbaar te onderscheiden van longtuberculose (foto 1,2). De tweede radiologische variant, gekenmerkt door bronchiëctasieën en nodulaire afwijkingen in lingula en middenkwab (foto 3), is zeldzamer in Nederland. Mogelijk is het feit dat deze afwijkingen door NTM veroorzaakt kunnen worden nog niet erg bekend in Nederland; in de Verenigde Staten is deze ziektevorm veelvoor-komend, veel meer dan de klassieke holtevormende variant.

Het opvallendst is dat NTM worden gevonden binnen een karakteristieke patiëntgroep in Nederland: voornamelijk mannen, tussen de 50 en 60 jaar oud, met al bekende chronische longziekten (met name Chronic Obstructive Pulmonany Disease (COPD)) of ten minste een aanzienlijke voorgeschiedenis van roken; dit geldt voor alle NTM-species en zowel voor de patiënten die aan de diagnostische criteria van de ATS voldoen, als voor hen die dat niet doen. NTM-infecties zijn dan ook vooral een zaak voor de longarts. De associatie met COPD Chronic Obstructive Pulmonary Disease (chronische bronchitis of longemfyseem) (Chronic Obstructive Pulmonary Disease (chronische bronchitis of longemfyseem)) verklaart ook deels waarom NTM-isolatie (en inherent daaraan het aantal patiënten met ware infecties) toeneemt. Door de toenemende vergrijzing en toenemende COPD incidentie wordt de patiëntgroep met een verhoogd risico ook steeds groter. Los hiervan spelen ook de steeds beter wordende laboratoriumtechnieken en het toenemende aantal patiënten dat afweerverlagende medicatie gebruikt een aanzienlijke rol.


Foto 1: Röntgenopname van de thorax: holtevorming obv m.avium-infectie


Foto 2: CT- opname van de thorax: hotlevorming obv m.avium-infectie


Foto 3: Nodulair-bronchiectatische longinfectie door m.intracellulare

Lymfeklierinfecties

Na de longinfecties door NTM zijn lymfeklierinfecties bij verder gezonde kinderen het meest voorkomend. Deze relatief onschuldige infecties treffen vooral kinderen jonger dan 6 jaar en leiden tot zwelling van lymfeklieren onder de onderkaak of in de hals, soms met abcesvorming. De behandeling bestaat uit chirurgische verwijdering van de lymfeklier, een 3 maanden durende antibioticakuur of afwachten; sommige infecties genezen spontaan. In Nederland veroorzaken vooral M. avium, M. malmoense en M. haemophilum dit type infecties. Duidelijke risicofactoren zijn nog niet gevonden. Naast de longinfecties en lymfeklierinfecties komen sporadisch ook andere extrapulmonale of zelfs gedissemineerde infecties voor. Deze infecties treffen doorgaans immuungecompromitteerde patiënten. Hierbij moet met name worden gedacht aan patiënten die afweerverlagende medicatie gebruiken, bijvoorbeeld voor reumatoïde artritis (prednison, TNF-α-blokkers) of na orgaantransplantatie. In deze laatste groep worden vooral veel gedissemineerde huidinfecties door snelle groeiers (M. fortuitum, M. abscessus, M. chelonae) gezien.

Behandeling

De behandeling van NTM-infecties lijkt op de tuberculosebehandeling; rifampicine en ethambutol vormen de basis, waar mogelijk met toevoeging van een macrolide. De geadviseerde behandelduur is 18-24 maanden. Bij ernstige holtevormende longinfecties wordt in de eerste maanden van de behandeling soms ook een aminoglycoside antibioticum toegevoegd, veelal amikacine. Voor infecties door snelgroeiende NTM (in het bijzonder M. abscessus, een beruchte opportunistische infectie van patiënten met cystic fibrosis) is het resistentieprofiel leidend in de middelenkeuze en kan met een kortere behandeling worden volstaan. De geadviseerde behandelduur bleek bij de meeste patiënten in onze studies niet gehaald te worden. Over het algemeen genas tweederde van de patiënten door behandeling. Voor sommige species ligt dit echter beduidend lager (M. avium: 50%, M. abscessus: 33%). Soms is chirurgische verwijdering van de aangetaste long(delen) noodzakelijk. Dit leidde bij de door ons bestudeerde patiënten doorgaans tot genezing. Vaker en vroegtijdiger toepassen van chirurgische behandeling lijkt dus wenselijk. De vergelijking met behandelresultaten van multidrugresistente tuberculose dringt zich hier op.

Nieuwe NTM-species

Aangezien de verschillende NTMworden gevonden in vergelijkbare patiëntgroepen, is het logisch te denken dat de verschillen in klinische relevantie voor een belangrijk deel voortkomen uit verschillen tussen de bacteriën zelf. Door genetisch onderzoek vonden wij inderdaad grote verschillen tussen de verschillende species, maar ook behoorlijke verschillen tussen verschillende stammen van een species. Deze verscheidenheid kan een deel van de verklaring van de verschillen in klinische relevantie zijn. Ook vonden we veel mycobacteriën die überhaupt niet tot bestaande NTM-species konden worden gerekend. Vier van deze groepen hebben we na uitvoerig onderzoek als nieuw species mogen benoemen. (M. noviomagense, M. riyadhense, M. vulneris, en M. mantenii).

Verschil in klinische relevantie

Wat nu precies het verschil in klinische relevantie tussen de verschillende species bepaalt blijft vooralsnog onduidelijk. Voor bacteriën van het M. tuberculosis-complex is bekend dat de esat-6 en cfp-10-genen erg belangrijk zijn. Deze ontbreken in M. bovis BCG Bacillus Calmette-Guérin (Bacillus Calmette-Guérin), waardoor het ziekteverwekkende vermogen sterk verlaagd is en het dus een veilig levend vaccin is. Soortgelijke genen vonden wij ook in enkele NTM-species, in het bijzonder bij de klinisch zeer relevante M. kansasii en M. szulgai. Toch bleek in laboratoriuminfecties dat deze genen voor M. szulgai minder bijdragen aan de pathogeniciteit dan bij het M. tuberculosis-complex. Voor M. kansasii is dit onderzoek nog gaande.

Tot slot

Ondanks een dalende tuberculose-incidentie zijn we zeker niet van de mycobacteriën af.NTM-longinfecties komen steeds vaker voor en treffen vooral patiënten met al bekende chronische longziekten. De klinische relevantie, dus het ziekteverwekkende vermogen, verschilt sterk tussen de verschillende NTM-species. NTM-longinfecties zijn klinisch vaak nauwelijks te onderscheiden van longtuberculose. De behandeling van NTM-longinfecties is langdurig en gecompliceerd. De behandeluitkomst is momenteel slechter dan die van multidrugresistente tuberculose. Nieuwe middelen en Nederlandse behandelrichtlijnen zijn dus wenselijk.

Auteur

J. van Ingen, Universitair Centrum voor Chronische Ziekten Dekkerswald, UMC Universitair Medisch Centrum (Universitair Medisch Centrum) St. sint (sint) Radboud afdeling longziekten, Nijmegen en National Jewish Health, Division of Mycobacterial and Respiratory Infections, Denver, Verenigde Staten

Correspondentie:

jakko.vaningen@gmail.com

Promotor: prof professor (professor). dr. doctor (doctor) P.N.R. Dekhuijzen

Co-promotores: dr. M.J. Boeree, prof. dr. D. van Soolingen

Het volledige proefschrift is online toegankelijk via:
http://webdoc.ubn.ru.nl/mono/i/ingen_j_van/nontmy.pdf