CPT Commissie voor Praktische Tuberculosebestrijding (Commissie voor Praktische Tuberculosebestrijding) | richtlijnen diagnostiek | diagnostiek tuberculose | gepubliceerd 1 december 2021

Foto: ©WHO Europe / Carl Cordonnier

Anamnese

Tuberculose kan in het gehele lichaam voorkomen maar treft meestal de longen. Klachten bij longtuberculose zijn vaak weinig specifiek zoals:

  • hoesten,
  • opgeven van sputum, soms met bloedbijmenging (haemoptoë),
  • pijn in de borstkas

Algemene symptomen zijn

  • subfebriele temperatuur of koorts,
  • gewichtsverlies,
  • (nacht)zweten.
  • malaise en vermoeidheid.

De aanwezigheid van eventuele andere, meer specifieke symptomen is afhankelijk van het voorkomen in een ander orgaan, zoals een zwelling in de halsstreek (bij lymfkliertuberculose), rugpijn (bij werveltuberculose) en hematurie (bij urogenitaal tuberculose). De presentatie van tuberculose bij hiv humaan immunodeficientievirus (humaan immunodeficientievirus)-geïnfecteerden en andere immuungecompromiteerde patiënten kan atypisch zijn. Ook bij kinderen zijn de klachten vaak weinig specifiek of afwezig. Bij jonge kinderen is onvoldoende groei soms een kenmerkend symptoom (“failure to thrive”; afbuigen van de groeicurve).

Verder dient nagegaan te worden of er anamnestisch aanwijzingen zijn voor een verhoogd risico op een tuberculose-infectie, zoals een bekend contact met een patiënt met longtuberculose, afkomstig zijn uit een land waar tuberculose veel voorkomt, of frequent reizend naar deze landen, behorend tot een andere risicogroep of kans op expositie tijdens werk.

Lichamelijk onderzoek

Bij lichamelijk onderzoek worden bij longtuberculose vaak geen afwijkingen gevonden, zelfs niet als er uitgebreide afwijkingen op de thoraxfoto zichtbaar zijn. De afwezigheid van afwijkingen bij lichamelijk onderzoek sluit tuberculose dus niet uit. Bij uitgebreide aantasting van de longen kan de auscultatie afwijkend zijn en percuteren kan pleuravocht of consolidatie doen vermoeden. Bij extrapulmonale tuberculose zijn bevindingen bij lichamelijk onderzoek afhankelijk van de lokalisatie van de tuberculose, zoals kloppijn bij werveltuberculose en niet pijnlijke, vast aanvoelende lymfklieren in de hals bij lymfkliertuberculose. Koorts, hangerigheid, sufheid of sterk verlaagd bewustzijn kunnen al dan niet in combinatie met nekstijfheid op tuberculose van het centraal zenuwstelsel wijzen.

Röntgenonderzoek van de thorax

Thoraxfoto

De thoraxfoto is een diagnostisch hulpmiddel bij de patiënt die verdacht wordt van intra-thoracale tuberculose. Voor de röntgendiagnostiek is het in eerste instantie nodig een voorachterwaartse thoraxfoto te maken en zo nodig een dwarse thoraxfoto. Ook bij een patiënt met extrapulmonale tuberculose moet een thoraxfoto gemaakt worden om een pulmonale locatie uit te sluiten, hetgeen van belang is voor eventuele isolatie en contactonderzoek. De thoraxfoto heeft een goede sensitiviteit, maar een lagere specificiteit. De sensitiviteit is lager bij personen met cellulaire immuunstoornissen. De variabiliteit tussen verschillende beoordelaars en van iedere beoordelaar individueel, kan de interpretatie beïnvloeden.

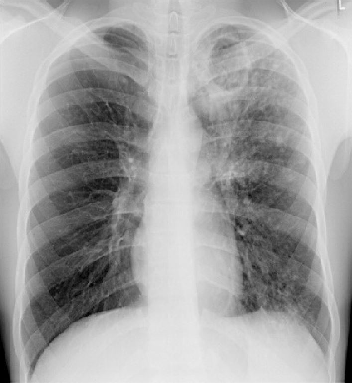
Volgens de wet is het noodzakelijk om bij röntgendiagnostiek van de thorax naar een eventuele zwangerschap te vragen (NVKF 2015). De thoraxfoto mag in de zwangerschap gemaakt worden, mits de uterus zich niet in de stralenbundel bevindt (Besluit stralingsbescherming 2001). In de praktijk kan dit voorkomen worden door goed te diafragmeren en te zorgen dat de uterus op minimaal 10 cm buiten de röntgenbundel ligt. In geval dat de genoemde veiligheidsmarge van 10 cm niet toegepast kan worden, dient de röntgendiagnostiek te worden afgewogen tegen de risico’s (Besluit stralingsbescherming 2001). Het radiologische beeld kan divers zijn. Het typische beeld van primotuberculose bij jonge kinderen bestaat uit een unilaterale hilaire lymfkliervergroting. Bij volwassenen komt vaker het typische beeld van infiltratieve afwijkingen voor, meestal in de bovenvelden, al dan niet met holtevorming. De holtevorming is het gevolg van een krachtige immuunreactie met granuloomvorming. Holtevorming en uitgebreide afwijkingen duiden meestal op al langer bestaande ziekte (zie figuur 1). Pleuravocht is meestal de enige uiting van pleuritis tuberculosa maar kan ook samenhangen met pulmonale tuberculose. Een typisch beeld van ernstige tuberculose is miliaire tuberculose, waarbij multipele kleine noduli zichtbaar zijn, uniform verspreid over beide longen.

Figuur 1: Thoraxfoto met een typisch dikwandige holte (caverne) in de linker bovenkwab en verspreid over de linker long kleine haardjes

Bij hiv humaan immunodeficientievirus (humaan immunodeficientievirus)-geïnfecteerden of andere immuungecompromitteerden is vaak een atypisch beeld van hilus- en mediastinale lymfadenopathie te zien. Bij ernstige immuunsuppressie blijft de granuloomvorming door inadequate cellulaire immuunreactie achterwege waardoor intrapulmonale afwijkingen of holtevorming minder vaak aanwezig is, terwijl er wel sprake is van (sputum positieve) longtuberculose.

Tijdens de tbc Tuberculose (Tuberculose)-behandeling kan een tijdelijke verslechtering optreden van het radiologisch beeld of van klinische symptomen, zoals een toename van de grootte van lymfeklieren (paradoxale reactie). Paradoxale reacties worden frequenter bij kinderen gezien. Bij immuungecompromitteerde patiënten treedt het vooral op als de immuniteit zich hersteltbijvoorbeeld onder antiretrovirale therapie (ART) en wordt dan immuunreconstitutie inflammatoir syndroom (IRIS) genoemd (zie Behandeling tuberculose).

CT-onderzoek

Computer Tomografie (CT) is bij de patiënt die verdacht wordt van longtuberculose niet onmiddellijk aangewezen, maar kan wel aanvullende informatie geven vanwege het gedetailleerde beeld van de long en de longafwijkingen. Een CT-thorax kan ook beter en sneller pathologische mediastinale lymfeklieren aantonen en draagt op die wijze bij aan de diagnostiek.

Net zoals bij de thoraxfoto kan het CT-beeld divers zijn. Bij bronchiale verspreiding van de tuberculose ziet men vaak meerdere longgebieden waar de bronchi en bronchioli een verdikte wand vertonen en omringd zijn door centrilobulaire noduli (zgn. ‘tree-inbud’). De aanwezigheid van vergrote centraal door necrose aangetaste lymfeklieren is een bijkomend element dat de diagnose van longtuberculose kan suggereren. Bij hiv-geïnfecteerden en immuungecompromitteerden is het beeld veelal minder typisch.

Bacteriologie

Er dient altijd gestreefd te worden naar bacteriologische bevestiging van de diagnose tuberculose.6 Deze kan bestaan uit microscopie (is aspecifiek), PCR polymerase chain reaction (polymerase chain reaction) en/of kweek. Deze procedure is beschreven in de NVMM Nederlandse Vereniging voor Medische Microbiologie (Nederlandse Vereniging voor Medische Microbiologie) richtlijnen. Het belangrijkste materiaal voor de diagnostiek van longtuberculose is opgehoest sputum of bronchusspoelsel maar ook andere lichaamsmaterialen kunnen onderzocht worden, zoals pleuravocht of weefselbiopten in geval van extrapulmonale tuberculose. Jonge kinderen hebben zelden een productieve hoest waardoor het verkrijgen van sputum door middel van ophoesten meestal niet lukt. Sputum wordt door kinderen vaak ’s nachts ingeslikt, derhalve kan de nuchtere maaginhoud van kinderen met een verdenking op longtuberculose onderzocht worden (WHO 2014).

Liefst op drie opeenvolgende dagen wordt sputum, bij voorkeur tenminste een ochtendsputum, verzameld. Het is zinvol de patiënt heldere instructies te geven hoe sputum op te hoesten, waarbij adequate maatregelen getroffen moeten worden om infecties te voorkomen. Sputum kan ook worden verzameld door sputuminductie. De sensitiviteit hiervan is zelfs groter dan het onderzoek van bronchusspoelsel, zeker bij het verzamelen van meerdere monsters op verschillende dagen (Vinh 2016).

Microscopisch onderzoek

Er zijn twee methoden om de zuurvaste mycobacteriën te kleuren voor een microscopisch preparaat: een fluorchroomkleuring, zoals de auraminekleuring, en de Ziehl-Neelsen (ZN) kleuring. Het aantonen van zuurvaste staven in een microscopisch preparaat is mogelijk als er minimaal 5.000 tot 10.000 bacteriën per milliliter aanwezig zijn. Fluorchroomkleuring is tegenwoordig de eerste keuze voor het microscopisch onderzoek van zowel respiratoire als niet-respiratoire materialen. Auramine-positieve preparaten hoeven niet langer te worden geconfirmeerd met een ZN-kleuring, maar bij  voorkeur met een nucleïnezuuramplificatietest, zoals de polymerase chain reaction (PCR)-test voor identificatie van mycobacteriën.

Omdat in een aantal studies een directe associatie wordt gelegd tussen mate van positieve microscopie en transmissie van tuberculose, is het gewenst bij de uitslag ook een schatting te rapporteren van de hoeveelheid aanwezige mycobacteriën. Bij de auraminekleuring en ook bij de kwantitatieve PCR (bijv. de Ct waarden van de GeneXpert) kan deze schatting gemaakt worden.

De specificiteit van het microscopisch onderzoek is hoog (>  90%). Fout-positieve reacties ontstaan, omdat ook de zogenoemde niet-tuberculeuze (atypische) mycobacteriën (NTM) en enkele andere zuurvaste micro-organismen zoals Nocardia en Actinomyces aankleuren met deze methodes.

Polymerase chain reactie

De PCR is gebaseerd op vermenigvuldiging van een specifiek DNA deoxyribonucleic acid (deoxyribonucleic acid)-fragment van een micro-organisme en kan zowel op vers lichaamsmateriaal als op gekweekt materiaal verricht worden. Er zijn zogenaamde primers ontwikkeld die kunnen binden aan beide uiteinden van dat betreffende specifieke stuk DNA. Bij iedere PCR cyclus wordt dit stuk DNA gekopieerd en na voldoende vermeerdering is het aantoonbaar. PCR testen kunnen geschikt zijn om zowel microscopie positief als negatief respiratoir of non-respiratoir materiaal te analyseren op de aanwezigheid van M. tuberculosis complex (NVMM 2015). PCR testen kunnen tegenwoordig vrijwel net zo gevoelig zijn als de kweek en kunnen zowel worden gebruikt voor het aantonen van M. tuberculosis complex als voor het aantonen van resistentiemutaties. De GeneXpert Ultra (de vernieuwde versie van de GeneXpert MTB/RIF) kan op simultane wijze de aanwezigheid van M. tuberculosis complex en de aanwezigheid van rifampicine resistentie in klinisch materiaal (sputum en andere materialen) aantonen. De Xpert heeft als voordeel dat alle reagentia al in een cartridge aanwezig zijn; het infectierisico in zo’n gesloten systeem is laag. Bovendien geeft het apparaat op semikwantitatieve wijze binnen twee uur een uitslag. De gevoeligheid van  de PCR’s voor respiratoir microscopie-positief materiaal is gemiddeld 94,5%, maar voor microscopie-negatief materiaal aanzienlijk lager (gemiddeld 62,8%). Om die reden kan een negatieve PCR niet worden gebruikt om longtuberculose uit te sluiten. De specificiteit is meer dan 95 procent voor zowel microscopisch positief als negatief materiaal. Voor niet-respiratoir materiaal is de sensitiviteit duidelijker lager dan voor respiratoir materiaal.

Er zijn verschillende andere moleculaire testen ontwikkeld om de belangrijkste mutaties die geassocieerd zijn met resistentie aan te tonen, zoals inhA promoter- en katGmutaties voor isoniazideresistentie en rpoB-mutaties voor rifampicineresistentie. De meest bekende test om deze mutaties aan te tonen is de MTBDRplus (Hain). Deze test wordt gebruikt op positieve kweken, maar ook op verdacht klinisch materiaal. De Hain Company heeft ook een test voor de detectie van resistentie tegen fluorchinolonen en aminoglycosiden (MTBDRsl).

Kweek

Het van oudsher meest bekende vaste kweekmedium voor mycobacteriële kweek is Löwenstein-Jensen, met als nadeel dat het lang duurde voordat er groei kon worden waargenomen. Het belangrijkste voordeel van vaste media is dat NTM nontuberculeuze mycobacteriën (nontuberculeuze mycobacteriën)’s en verontreinigingen makkelijker herkend kunnen worden. De huidige vloeibare, geautomatiseerde kweeksystemen, zoals de Mycobacteria Growth Indicator Tube (MGIT)-kweektechniek, hebben als groot voordeel dat de resultaten sneller beschikbaar zijn. Bij een positieve kweek dient confirmatie plaats te vinden via bijv. bijvoorbeeld (bijvoorbeeld) een PCR op M. tuberculosis complex.

Whole Genome Sequencing

Vanaf 2020 wordt Whole Genome Sequencing (WGS) gedaan van de M. tuberculosis complex kweken die naar het RIVM worden verzonden. Met de WGS whole genome sequencing (whole genome sequencing) worden de volgende genotypische bepalingen gedaan:

1) Identificatie van het (sub)species.

Naast M. tuberculosis kunnen ook M. bovis (die resistent is voor pyrazinamide) en incidenteel andere meer uitzonderlijke mycobacteriën zoals bijvoorbeeld M. microti tuberculose veroorzaken.

2) Screening op resistentiemutaties.

Hierbij wordt onderzocht of er resistentiemutaties aanwezig zijn in o.a. onder andere (onder andere) de negen belangrijkste resistentiegenen (geassocieerd met isoniazide, rifampicine, ethambutol en pyrazinamide resistentie). Indien deze afwezig zijn is een fenotypisch gevoeligheidsbepaling niet meer nodig en wordt deze, zonder nader verzoek, niet meer uitgevoerd (bij ongeveer 90% van de kweken in Nederland). De voorspellende waarde van het aantonen van resistentiemutaties neemt elk jaar toe, omdat er steeds meer informatie beschikbaar komt over de associatie tussen mutaties en het resistentieniveau, zowel voor de eerstelijns als tweedelijns antibiotica. Hierdoor kan bij het aantonen van een deel van de resistentiemutaties een betrouwbare voorspelling gegeven worden van de mate van resistentie van de kweek. Dit wordt dan vermeld op het uitslagformulier. Voor de zekerheid wordt op dit moment nog een fenotypisch resistentieonderzoek uitgevoerd op kweken waarbij een resistentiemutatie is aangetoond. Het is waarschijnlijk dat ook dit voor een deel van de resistentiemutaties (met een hoge voorspellende waarde) in de nabije toekomst zal vervallen.

3) Epidemiologische typering

M. tuberculosis complex stammen worden getypeerd en krijgen een WGS fingerprint nummer, opgebouwd uit een letter en drie cijfers (bijv. A012). Stammen die genetisch (bijna) gelijk zijn hebben hetzelfde fingerprint nummer en daarvoor kan de GGD Gemeentelijke Gezondheidsdienst (Gemeentelijke Gezondheidsdienst) een clusteronderzoek uitvoeren. Stammen vanaf 2016 hebben een WGS fingerprint nummer, oudere stammen hebben een RFLP Restriction Fragment Length polymorphism (Restriction Fragment Length polymorphism) of VNTR Variable-Number Tandem Repeats (Variable-Number Tandem Repeats) fingerprint nummer maar kunnen op verzoek worden gehertypeerd bij het vermoeden van een epidemiologische link.

Fenotypische gevoeligheidsbepalingen

Gevoeligheidsbepalingen van M. tuberculosis waren tot enkele decennia geleden uitsluitend fenotypisch van aard. Op dit moment is de MGIT-kweektechniek in internationaal verband nog steeds de standaard fenotypische resistentiebepaling. Aan de MGIT-kweekbuis is een kritische concentratie van een antibioticum toegevoegd, zodat de groei van een isolaat kan worden vergeleken met groei in een controlebuis zonder antibioticum. Dit is een eenpuntsbepaling waarbij wordt bepaald of een stam resistent of gevoelig is. Bij isoniazide kunnen twee kritische concentraties worden gebruikt waardoor tevens een stam als intermediair (laag resistent) kan worden bepaald. Wanneer er een reeks van verschillende concentraties per antibioticum wordt getest, kan er een minimale remmende (inhiberende) concentratie (MIC) worden bepaald. Dat is de laagste (geteste) concentratie waarbij de groei meer dan 99% wordt geremd en geeft informatie over het resistentieniveau.

Niet-tuberculeuze mycobacteriën

Niet-tuberculeuze mycobacteriën (NTM’s) zijn mycobacteriën die niet behoren tot het M. tuberculosis complex of M. leprae, zoals M. avium, M. kansasii en M. abscessus. Er bestaan meer dan 150 verschillende NTM species. NTM’s veroorzaken in het algemeen geen ziekte bij gezonde volwassenen en voor zover bekend worden zij niet van mens op mens overgedragen, hoewel er recente wetenschappelijke publicaties zijn waarin het tegendeel wordt beschreven voor longinfecties bij bepaalde patiëntenpopulaties.

Bij immuungecompromitteerden kan wel klinisch relevante ziekte optreden. Bij jonge kinderen kunnen NTM’s lymfadenitis veroorzaken. NTM’s kunnen de diagnostiek van tuberculose bemoeilijken en daarom is er hier kort aandacht voor deze bacteriën. De NTM’s kleuren aan in een auramine- of ZN-kleuring en een behandelend arts kan aanvankelijk aan de diagnose tuberculose denken en melden. Ziekte veroorzaakt door NTM’s is niet meldingsplichtig en eerdere meldingen dienen te worden ingetrokken. Ingeval van een infectie met NTM’s hoeft de GGD geen contactonderzoek te starten.

Referenties

  • Besluit stralingsbescherming. 2001 (stb-2001-397.html).
  • NVKF Nederlandse Vereniging voor Klinische Fysica (Nederlandse Vereniging voor Klinische Fysica) (2015). Advies Nederlandse Vereniging Klinische Fysica Commissie Stralingshygiëne. 2015.
  • NVMM Nederlandse Vereniging voor Medische Microbiologie (Nederlandse Vereniging voor Medische Microbiologie) (2015). Richtlijn Mycobacteriële laboratoriumdiagnostiek. Nederlandse Vereniging voor Medische Microbiologie 2015.
  • Vinh DC, Menzies D. Sputum induction for diagnosis of pulmonary tuberculosis: ready for prime time? Chest 2006;130:1626; author reply 1626-1627.
  • WHO World Health Organization (World Health Organization ) (2014). Guidance for national tuberculosis programmes on the management of tuberculosis in children. Geneva: World Health Organization 2014.